Retainers

TYPES OF RETAINERS:

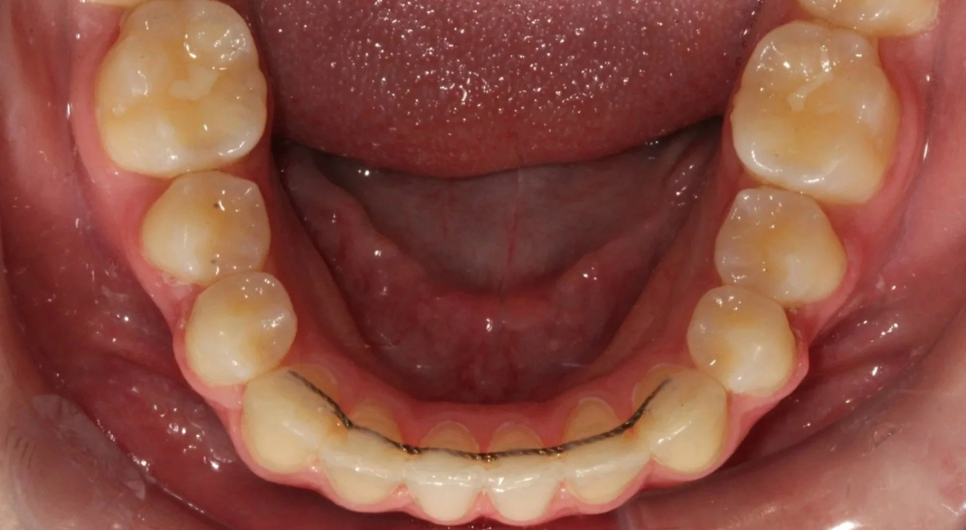
Lingual retainer

Lingual

A Lingual Retainer is a braided stainless steel wire that connects to the lingual (back) surfaces of the front teeth. Composite resin (dental restorative material) is used to adhere the appliance to the teeth. The Lingual Retainer is used to maintain a previous orthodontic result or to simply prevent undesirable movement of the teeth. We encourage patients to clean the appliance with toothpaste and a toothbrush each and every time the teeth are brushed. Flossing – threading the floss under the appliance at each point of contact – is advised at least once a day.


Clear retainer

clear

Clear retainers are custom-made, transparent plastic shells that fit snugly over your teeth to maintain your orthodontic results and prevent unwanted shifting. After completing treatment, these retainers play a key role in keeping your smile straight and healthy. Proper care helps keep your retainers in top condition. They should be cleaned daily with a toothbrush, and for deeper cleaning, antibacterial soap and warm water can be used. Hot water and mouthwash should be avoided, as they can warp or damage the plastic.

For patients who have completed Invisalign treatment, we offer Invisalign® Vivera™ retainers. Made from the same premium SmartTrack™ material as Invisalign aligners, Vivera™ retainers are thicker and more durable than standard clear retainers, designed specifically for long-term use. They are sparklingly clear, easy to clean, and engineered to maintain your orthodontic results rather than move teeth. With proper care, a single set can last several years, helping you protect your beautiful, straight smile for the long term.


Hawley retainer

Hawley

A Hawley retainer is one form of orthodontic retainer, which uses a combination of a hard plastic or acrylic plate connected by a thin metal wire. The retainer is molded to your mouth to fit comfortably, with the wire settled against the front of your teeth. The retainer protects the results of your orthodontic care, and prevents your teeth from sliding back into their previous positions. The Hawley retainer must be worn nightly for life (however it must be worn full time for the first 6 months after having your braces removed) so your healthy smile is maintained for as long as possible. It can be used after treatment with braces or clear aligners like Invisalign.


Retainer Instructions